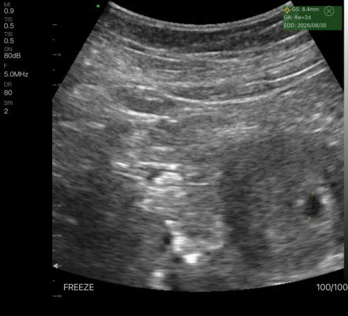
Gestational Sac Only
Normal pa ba to sa Age ni baby? Last mens ko po oct. 28, positive na ako sa PT nung December 4, then nagpacheck up ako December 9, thick endometrium palang po nakita tapos bumalik po ako ng December 23, ganto palang po nakita SAC palang na maliit, normal po ba to yung laki ng sac sa last mens ko? Salamat po



