Placenta lake
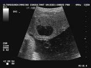
Ada x ibu² pernah mengalami placenta lake atau bahasa melayu kolam plasenta, baru² ni scan di KK doktor sahkan saya ada placenta lake dn perlu refer doktor pakar... try juga tnya sedara mara yg lain yg dh beranak pinak semua x thu😅 Ni ada gmbr contoh dari google

hi mommy. saya pun first time dgr ni dan ikut apa yg saya baca placental lake ni sebenarnya pools of blood yg mana darah tu darah mommy. placental lake ni sepatutnya tak beri side effect kpd baby kecuali kalau 'lake' ni 10% drpd saiz placenta atau saiz/berat baby yg kecil berbanding usia kandungan. dari apa yg sy baca jugak,placental lake ni takde kene mengena dengan pendarahan plasenta, tekanan darah tinggi,pre-eclampsia, kelahiran pramatang dan baby kurang berat badan. mommy boleh rujuk article ni https://www.babycentre.co.uk/x557445/what-is-a-placental-lake
Baca lagiHi puan. Puan dah refer pakar ke? Saya sekarang 22 weeks, and ada problem yang sama juga
semoga urusan awk dipermudahkan...penyakit ni pon x ada diberi ubat, doktor hanya pantau perkembangan baby shj😊 awk first mom ya? klw first mom HTA ada sediakan kls antenatal secara percuma blh join🥰masa saringan di HTA ada staff nurse akn maklumkan kelas antenatal untuk first mom
hai sis, sy pun alami yang same. skrg 20 mnggu.. is it normal?
placenta lake/lacuna lake ni jarang² berlaku....skrng saya masih buat rawatan di hospital dngn doktor pakar. doktor kata klw ada lake 3 bersize besar perlu dipantau rapi, alhamdulillah lake sya hanya 1shj bersize besar. awal dulu 2minggu sekali kena dtng checkup, skrng alhamdulillah size dh makin mengecil...baby alhamdulillah sihat, skrng hanya sebulan sekali shj dtng checkup dngn pakar. insyaallah semoga tiada perkara yg serious n semoga urusan dipermudahkan😊




Queen of soon to be 3 ambitious princes and 1 loveliest princess